大澳生物官网|化妆品代加工,化妆品贴牌,化妆品ODM,面膜代加工,化妆品OEM专家-广东大澳生物科技有限公司

专注化妆品研发生产16年一站式美妆品牌创研孵化智造基地

专注化妆品研发生产16年一站式美妆品牌创研孵化智造基地

13925000019(咨询热线)13450391663(客服热线)

重磅!协和医院:补充外源性干细胞是抗衰老有效办法!

文章分类:行业资讯    发布时间:2022-07-16    浏览

分享到:


最近,中国医学科学院、北京协和整形美容外科李竹君等在《协和医学》杂志发文《间充质干细胞在整形美容领域的应用》。

image.png

作者首先提及现在整形美容领域常见的抗衰老疗法包括药物、光电治疗、填充治疗和面部提拉手术等的应用局限:

  • 面部提拉手术创伤相对较大,仅适用于重度皮肤松垂患者。

  • 外用药物包括维生素A衍生物、果酸剥脱等,但效果不显著,持续时间短,主要适用于轻度皱纹。

  • 肉毒素注射对动态皱纹效果好,但持续时间较短,需反复注射才能维持。

  • 光电治疗除皱效果较好,相对无创,但个别案例中可能遗留瘢痕,影响外貌。
  • 填充治疗主要分为玻尿酸与自体脂肪填充,前者需重复注射才能维持效果,后者需先进行吸脂手术,且脂肪存活率随时间推移而降低。


干细胞及其衍生物疗法相较于以上方法,具有操作便捷、相对无创、不易遗留瘢痕、效果稳定等优势,是未来抗衰老治疗的新方向。

作者认为补充外源性干细胞是抗衰老的有效方法。



基础研究显示,ADSC(脂肪干细胞)条件培养基可缓解皮肤成纤维细胞接受紫外线照射后的光老化损伤,提高细胞增殖能力,缓解细胞衰老,降低MMP(基质金属蛋白酶)水平,促进胶原蛋白与弹性蛋白的合成。

动物研究显示,ADSC外泌体在大鼠皮肤光老化模型中可发挥抗衰老、修复作用,促进胶原表达并降低MMP的水平,增加真皮厚度,降低表皮厚度和角质层的比例,恢复皮肤的正常结构。

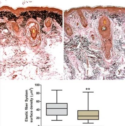
一项在巴西进行的临床研究,纳入人员20人,女性16名,男性4名,在面部光老化区域皮下注射干细胞后可观察到局部免疫细胞聚集明显下降,MMP水平降低,弹性纤维合成增加,效果优于富血小板血浆,且未发生不良事件。


上图显示弹力纤维质从术前的23.69平方微米(中值表面密度)显著增加到41.82平方微米(中值表面密度)


上图显示术后病理性弹性材料显著减少


最后作者还重点提及了干细胞治疗脱发。作者认为干细胞分泌的VEGF等因子能显著促进毛囊周围血管生成,从而促进毛发生长。

在应用研究中,例如身免疫导致的斑秃,间充质干细胞可拮抗干扰素γ诱导的炎症反应,减轻脱发,促进毛发再生。

在两项临床案例报道中,使用脐带来源的间充质干细胞治疗斑秃均取得了良好疗效,雄激素性脱发亦可使用MSC治疗。



ADSC条件培养基可改善雄激素性脱发患者的毛发密度,在一项纳入9例患者的临床试验中,注射自体SVF的一侧毛发密度显著高于未加干预的一侧。






Copyright @广东大澳生物科技有限公司 All Rights Reserved. 电话: 
粤ICP备14008526号 

网站地图
13925000019
13925000019
已为您复制好微信号,点击进入微信

遇到问题?请给我们留言

请填写您的邮箱地址,我们将回复您的电子邮件

遇到问题?请给我们留言

请填写您的邮箱地址,我们将回复您的电子邮件